Ортодонтия
Ортодонтията е дял от денталната медицина, който изучава най-общо зъбно - челюстните деформации, отклоненията в местоположението на зъбите и междучелюстните съотношения, както и методите за тяхната профилактика и лечение. Самото название на ортодонтията има древногръцки произход - ортос- означава прав, а одонтос - зъб.

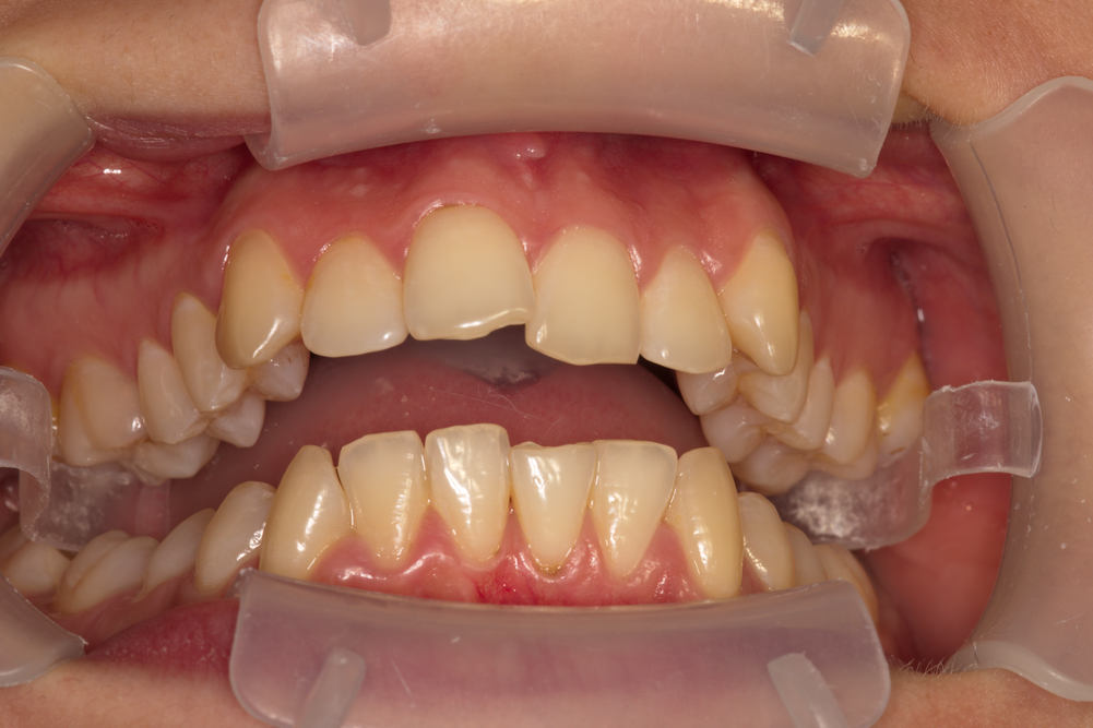
Снимка на пациент с минимални деформации, но с необходимост от ортодонтска намеса - жена на възраст 22 години

Начало на ортодонтското лечение на пациентката - фиксирани са брекети от серията COBY на YDM - Япония и никел - титанови кръгли дъги 0.14. Липсва лигатура на първи горен премолар вдясно